Expert Dental Care

Comprehensive Services For Your Dental Health

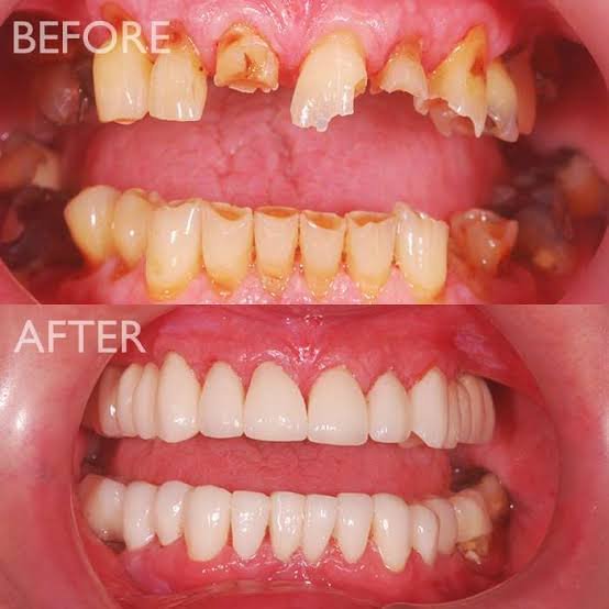
Dental Implant 1024x771 1

01

Dental Implants (डेंटल इम्प्लांट्स)

Dental implants are a long-term solution to tooth loss, providing a natural-looking smile and restoring proper mouth function. Our expert team ensures precise placement and comfortable recovery.

02

Root Canal Treatment (रूट कैनाल ट्रीटमेंट)

Root canal therapy is a pain-relieving treatment for infected teeth, removing damaged tissue and preserving the natural tooth structure. Our skilled dentists perform efficient and gentle root canals to restore oral health.

92f93721 6da6 4051 B154 87d96cfc8f3d
Orthodontic

03

Orthodontic treatment/ Braces (ऑर्थोडॉन्टिक ट्रीटमेंट / ब्रेसेज़)

Our orthodontic treatments include traditional braces and clear aligners to gradually shift teeth into proper alignment. Achieve a straighter smile and improved bite function with our personalized care.

04

Painless Tooth Extraction ( पेनलेस टूथ एक्सट्रैक्शन)

Painless tooth extraction uses advanced techniques and anesthesia to ensure a comfortable experience. Modern methods minimize discomfort and promote quick recovery.

C4d88b5a 8f76 4da0 9b76 64525eafd1c0
Download 1

05

Fixed and Removable Teeth Fabrication (फिक्स्ड एंड रिमूवेबल टीथ फैब्रिकेशन)

Restore your smile with our custom-made fixed bridges, crowns, and removable dentures. Designed for comfort and durability, our solutions help you eat, speak, and smile confidently.

06

Perfect Smile Design (परफेक्ट स्माइल डिज़ाइन)

We offer traditional braces and clear aligners to gently straighten your teeth. Enjoy a confident smile and healthier bite with our personalized orthodontic care.

Download
WhatsApp Image 2024 08 02 At 11.03.57 PM 1

07

Full Mouth Rehabilitation ( फुल माउथ रिहैबिलिटेशन)

Full mouth rehabilitation is a comprehensive approach to restoring oral function and aesthetics, combining restorative, cosmetic, and sometimes orthodontic treatments tailored to individual needs.

08

Post and Core therapy ( पोस्ट एंड कोर थैरेपी)

Post and core therapy involves placing a metal or fiber post in a root canal-treated tooth to support a crown, restoring its strength and function. This procedure helps ensure the longevity and stability of the tooth.

Post And Core Therapy
Whitening

09

Teeth Whitening and Cleaning ( टीथ व्हाइटनिंग एंड क्लीनिंग)

Brighten your smile with professional teeth whitening and cleaning. Achieve a fresh, polished look while maintaining optimal oral health.

10

Oral Accidental & Fracture (ओरल एक्सीडेंटल एंड फ्रैक्चर)

Accidental tooth fractures can be sudden and distressing, but timely treatment can restore your smile and prevent further damage. Whether it’s a minor chip or a significant break, addressing the issue promptly ensures the best outcomes for your dental health.

Accidental Fracture
776e0637 A667 4e08 9c91 B5c89ea10d21

11

Oral cancer diagnosis (ओरल कैंसर डायग्नोसिस)

Oral cancer diagnosis involves a thorough examination to detect abnormal cells in the mouth, which can develop into cancer. Early detection is key for effective treatment and better outcomes.

12

Reduced Mouth Opening ( रिड्यूस्ड माउथ ओपनिंग)

Reduced mouth opening, or trismus, limits the ability to fully open the mouth due to muscle or joint issues. It can result from dental procedures, infections, or other underlying conditions.

Reduced Mouth Opening
Oral Cyst Tumor Surgery

13

Oral cyst, tumor surgery (ओरल सिस्ट, ट्यूमर सर्जरी)

Oral cyst and tumor surgery involves the removal of abnormal growths in the mouth to prevent complications and restore oral health. This procedure is essential for addressing issues that may affect function and aesthetics.

Scroll to Top